Before
Old composite veneers needed to be replaced.
After
Cosmetic porcelain will resist stain and keep a lifelike appearance for a very long time.
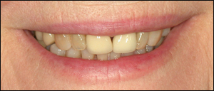
Before
Our patient was comfortable with the gap between her teeth, but wanted to improve the appearance of her front teeth while still having a natural looking smile.
After
We left a small space between the two new cosmetic crowns so she could keep the look she was comfortable with, yet look and feel better about her smile.
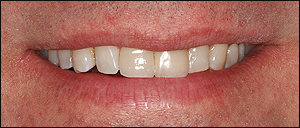
Before
Metal showing and dull, stained teeth were affecting the potential of this smile.
After
With crowns, veneers, and whitening to complete this smile makeover, our patient couldn't be happier.
Before
An old cosmetic crown needed to be replaced and a less invasive veneer was all that was needed for the tooth to the left of it.
After
Two different restorations, a veneer on the right centre tooth and a crown on the left centre tooth. A great smile was the result.
Before
The centre two teeth had to be treated - the left one with an implant and crown, the right with a new crown.
After
The results are beautiful so far, the remaining teeth will be completed in the near future.